診療科目
むし歯治療

虫歯治療には状態に応じた様々な治療法があります。
単に治療するのではなく、患者さんの一生の歯の状態を考えた治療を行います。
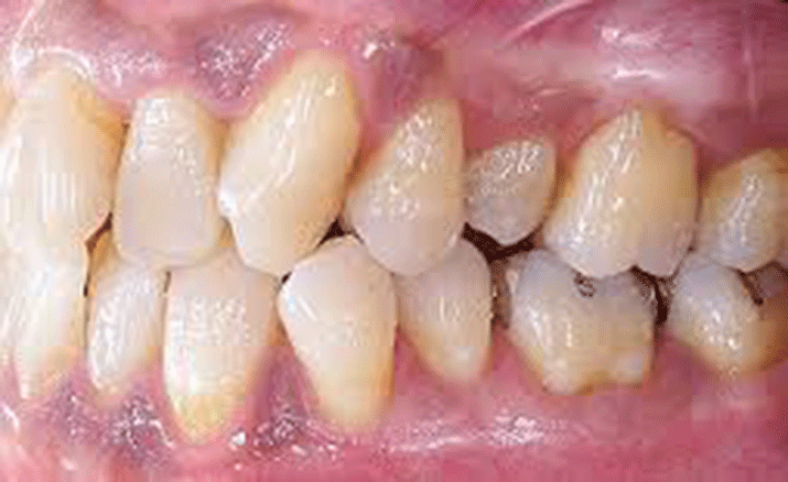
歯周病治療

歯垢、歯石除去、中等度以上は外科処置や組織再生療法で歯周組織の再生を促す治療も行っています。
小児歯科

当院では大事なお子様の歯を守るためのお手伝いをさせていただきます。
予防歯科 歯のクリーニング 定期健診

お口を健康な状態に保つためには、ご家庭でされているケアと歯医者さんで行うケアが必要となります。
歯石や歯垢、歯の着色を落とす歯のクリーニングをぜひ受診して下さい。
セレック治療

白く美しい歯になりたい方へはセレック治療があります。
セレック(CEREC)は、コンピュータ制御で、歯の修復物を設計・製作する「CAD/CAM」システム。
世界中で採用されている歯の医療方法です。
入れ歯

高齢化社会を迎え、入れ歯の役割はとても大きくなっています。
入れ歯の新規作成から調整まで、お悩みをじっくりお聞きいたします。
審美歯科

キレイな前歯にしたい、歯ならびを直したい等、歯の美しさを追求いたします。
歯の専門家だからこそ、豊富なメニューでそのお悩みを解決するお手伝いをいたします。
ホワイトニング

ホワイトニングは、歯を削らず歯を白くする治療法になります。
ご希望に合ったホワイトニングのプランをご提案させて頂きます。
小児矯正

小児矯正歯科に求められているのは、ただ歯並びを綺麗にするだけではありません。
顎の正しい成長発育を促し、全身の健康につながる矯正治療を行います。
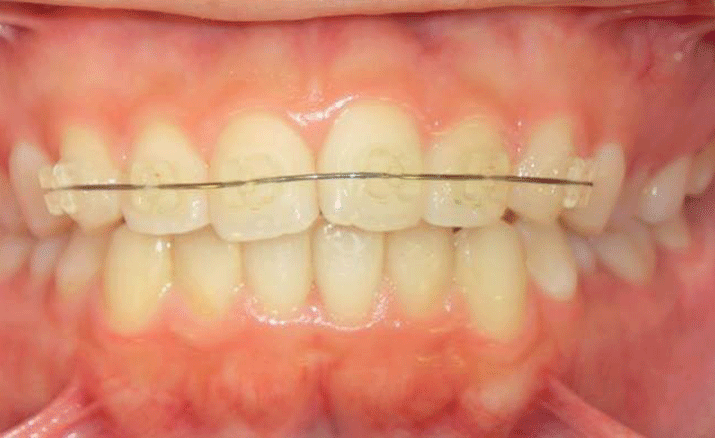
部分矯正

歯並びの矯正というと、歯全体に伸びた矯正器具をイメージする方が多いですね。
しかし、前歯だけを矯正する「部分矯正」という方法も存在します。
前歯の歯並びが気になる方、まずはご相談下さい。
インプラント

インプラントとは、歯を失った所に歯を入れる治療方法のひとつです。
口腔外科

お口や顎、顔面の異常に対して外科処置を行う歯科の専門分野の一つが「口腔外科」です。
親知らず治療

埋伏している状態の親知らずは周辺に炎症を起こしやすく、体調が悪いときなどに歯ぐきの腫れや痛みを生じさせます。
意図的再植

意図的再植とはお口の中の治療のため、一度歯を抜いて再度治療箇所に埋め込む治療です。
咬み合わせ

咬み合わせの変化から怒る体の歪みを放置すると、日常生活にも支障をきたしてしまうことも少なくありません。
顎関節症

口を動かすと顎の関節から音がする、顎の骨に痛みが出る、口が開けにくいといった症状はありませんか。


