治療前後写真
当院の治療例の一部を
ビフォー&アフターでご紹介いたします
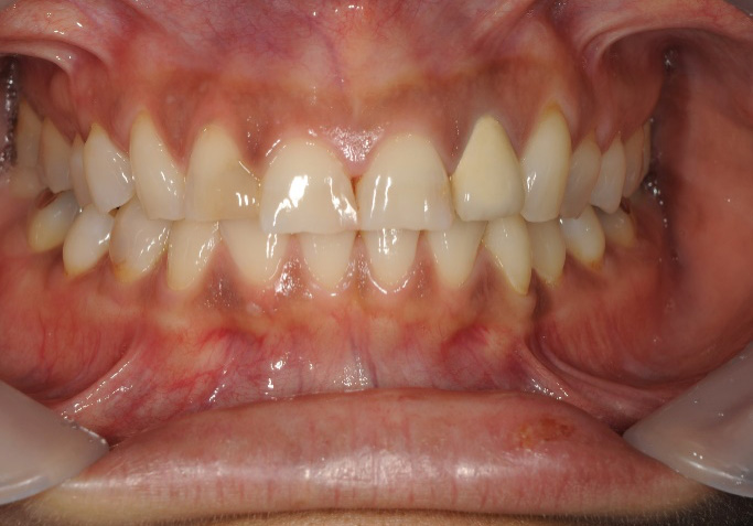
ラミネートべニア修復、ジルコニアセラミック修復



| 通院時の年齢 | 41歳 |
|---|---|
| 性別 | 女性 |
| 通院目的(主訴) | 前歯が気になる |
| 処置内容 | ラミネートべニア修復、ジルコニアセラミック修復 |
| 治療回数 | 4回 |
| 治療期間 | 1ヵ月 |
| 費用 | 440,000円(税込) |
| リスク・副作用 | 一定量、歯を削る必要がある。割れることがある。 |
| 治療の説明 院長コメント |
古い修復物を外す→歯の表面を削る→型を取る →出来上がったラミネートべニアとジルコニアセラミックを装着する |
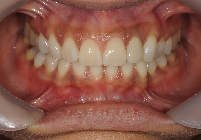
セレックインレー、セレッククラウン



| 通院時の年齢 | 37歳 |
|---|---|
| 性別 | 女性 |
| 通院目的(主訴) | 銀歯の見た目が気になる |
| 処置内容 | セレックインレー、セレッククラウン |
| 治療回数 | 3回 |
| 治療期間 | 1ヵ月 |
| 費用 | 121,000円(税込) |
| リスク・副作用 | 硬いものを嚙んだ時に割れることがある |
| 治療の説明 院長コメント |
古い銀歯を除去→二次う蝕の除去→神経の保護処置→3Dスキャン→ セラミック歯の装着 |
金属床部分入れ歯



| 通院時の年齢 | 62歳 |
|---|---|
| 性別 | 男性 |
| 通院目的(主訴) | 喋りづらいので薄い入れ歯にしたい |
| 処置内容 | 上顎コバルト床 |
| 治療回数 | 5回 |
| 治療期間 | 約2ヵ月 |
| 費用 | 330,000円(税込) |
| リスク・副作用 | 重く感じることがある |
| 治療の説明 院長コメント |
型取り→金属フレームやバネを合わせる→嚙み合わせの高さを合わせる→ 人工歯の大きさ、出具合など確認する→入れ歯の完成、お渡し |
ジルコニアセラミックブリッジ、セラミッククラウン、セレックインレー



| 通院時の年齢 | 50歳 |
|---|---|
| 性別 | 男性 |
| 通院目的(主訴) | 歯をキレイにしたい |
| 処置内容 | ジルコニアセラミックブリッジ、セラミッククラウン、セレックインレー |
| 治療回数 | 8回 |
| 治療期間 | 約4ヵ月 |
| 費用 | 594,000円(税込)+ 仮歯代11,000円(税込) |
| リスク・副作用 | 古い人工物を除去する時に、歯が割れる場合がある |
| 治療の説明 院長コメント |
・不適人工物の除去→虫歯治療→土台作り→型取り→セラミック歯の装着 ・古い銀歯を除去→二次う蝕の除去→神経の保護処置→3Dスキャン →セラミック歯の装着 |
デュアルホワイトニング



| 通院時の年齢 | 19歳 |
|---|---|
| 性別 | 男性 |
| 通院目的(主訴) | 歯の色が気になる |
| 処置内容 | オフィスホワイトニング、ホームホワイトニング |
| 治療回数 | 3回 |
| 治療期間 | 2ヵ月 |
| 費用 | 上下オフィス16,500円(税込)、ホーム44,000円(税込み) |
| リスク・副作用 | 知覚過敏の症状が出ることがある。目指している色にならない場合がある |
| 治療の説明 院長コメント |
歯のクリーニング(事前に)→オフィスホワイトニング用のジェルの塗布→ 拭き取り→歯の表面の保護剤の塗布→ホーム用トレーの型取り →後日トレーとジェルをお渡し |
部分矯正



| 通院時の年齢 | 39歳 |
|---|---|
| 性別 | 男性 |
| 通院目的(主訴) | 歯並びが悪く、下唇が切れてしまう |
| 処置内容 | ブラケット矯正、リテーナー(保定装置) |
| 治療回数 | 8回 |
| 治療期間 | 6ヵ月(ブラケット矯正) |
| 費用 | 220,000円(税込) |
| リスク・副作用 | 歯を動かす時に痛みを感じることもある。治療に時間がかかる |
| 治療の説明 院長コメント |
ブラケットの装着→ワイヤーの交換(7回、約2~3W毎)→ブラケットの除去 リテーナーの型取り→リテーナーの装着 |
歯内漂白



| 通院時の年齢 | 45歳 |
|---|---|
| 性別 | 女性 |
| 通院目的(主訴) | 歯の色が気になる |
| 処置内容 | 歯内漂白(ウォーキングブリーチ) |
| 治療回数 | 4回 |
| 治療期間 | 2ヶ月 |
| 費用 | 33,000円(税込) 16,500円×2回 |
| リスク・副作用 | 希望の色にならない場合がある。 |
| 治療の説明 院長コメント |
歯の中に漂白薬剤を入れる。2~3週間薬を効かせる。歯の色をチェックする。 3回まで出来る。3回以上は色の変化は期待出来ない。 |
小児矯正



| 通院時の年齢 | 7歳9ヶ月 |
|---|---|
| 性別 | 女性 |
| 通院目的(主訴) | 歯並びが気になる |
| 処置内容 | 床矯正装置 |
| 治療期間 | 3年5ヵ月 |
| 費用 | 385000円(税込) |
| リスク・副作用 | 治療が長期になる。取り外し式のため管理、サポートが必要。 |
| 治療の説明 院長コメント |
取り外し式の矯正装置にて歯槽骨を広げて永久歯の萌出スペースを確保して揃える。 |
小児矯正



| 通院時の年齢 | 9歳8ヶ月 |
|---|---|
| 性別 | 女性 |
| 通院目的(主訴) | 歯並びが気になる |
| 処置内容 | 床矯正装置 |
| 治療期間 | 4年6ヵ月 |
| 費用 | 385000円(税込) |
| リスク・副作用 | 治療が長期になる。取り外し式のため管理、サポートが必要。 |
| 治療の説明 院長コメント |
取り外し式の矯正装置にて歯槽骨を広げて永久歯の萌出スペースを確保して揃える。 |
下顎のノンクラスプデンチャー



| 通院時の年齢 | 87歳 |
|---|---|
| 性別 | 女性 |
| 通院目的(主訴) | 入れ歯の金具が気になる |
| 処置内容 | ノンクラスプデンチャー |
| 治療回数 | 5回 |
| 治療期間 | 1ヶ月 |
| 費用 | 176,000円(税込) |
| リスク・副作用 | 維持装置の調整が難しい、プラスチックの為破折の可能性がある |
| 治療の説明 院長コメント |
型取り→噛み合わせの確認→形状の確認、仮合わせ→入れ歯の装着 |
前歯のセラミック治療



| 通院時の年齢 | 26歳 |
|---|---|
| 性別 | 女性 |
| 通院目的(主訴) | 結婚式に向けて上の前歯を綺麗にしたい |
| 処置内容 | セラミッククラウン(3本) |
| 治療回数 | 12回 |
| 治療期間 | 約4ヶ月 |
| 費用 | 330,000円(税込) |
| リスク・副作用 | 被せ物をやりかえる歯を削る部分がある。前歯で硬いものを噛むと割れる可能性がある。 |
| 治療の説明 院長コメント |
不適合のレジン前装冠(保険)を除去→土台の修正→仮歯の装着→精密仮歯で大きさ、長さ、幅、形などの確認→セラミック歯を装着 |
右下2本インプラント治療、セラミックブリッジ



| 通院時の年齢 | 60歳 |
|---|---|
| 性別 | 女性 |
| 通院目的(主訴) | 右下奥歯が咬めない |
| 処置内容 | インプラント2本+ブリッジ(インプラントブリッジ) |
| 治療回数 | 8回 |
| 治療期間 | 約6ヶ月 |
| 費用 | 918,500円(税込) |
| リスク・副作用 |
治療の期間がかかる、外科処置が必要。 場合によって咬み合う歯やお口の中の全体の治療が必要。 |
| 治療の説明 院長コメント |
CT撮影→咬合検査→シミュレーション→インプラント埋入→3ヶ月後、インプラントと骨の結合を確認→2本のインプラントの上に3本のセラミック歯を装着 |
上の歯の奥歯のセラミック治療



| 通院時の年齢 | 27歳 |
|---|---|
| 性別 | 女性 |
| 通院目的(主訴) | 銀歯のやり変え希望 |
| 処置内容 | セレックインレー(セレック使用) |
| 治療回数 | 6回(3箇所) |
| 治療期間 | 2ヶ月 |
| 費用 | 132,000円(税込 |
| リスク・副作用 | 詰め物をやりかえる歯を少し削る部分がある。硬い物を咬むと割れる可能性がある。 |
| 治療の説明 院長コメント |
古い銀歯を除去→二次う蝕の除去→神経の保護処置→3Dスキャン→セラミック歯の装着 |


